Ученые ЮФУ открыли еще один секрет самосборки вирусов в клетках

Исследователи из Южного федерального университета совместно с учеными из Китая и Словении изучили способ,

Исследование поможет бороться с одним из вариантов лихорадки

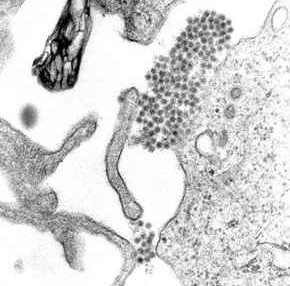
Исследователи из Южного федерального университета совместно с учеными из Китая и Словении изучили способ, с помощью которого некоторые из вирусов собираются из белковых молекул в клетках. Потенциально исследование может помочь создать препараты для лечения и профилактики некоторых вариантов лихорадки. Итоги исследования опубликовал научный журнал Nanoscale Advances.

Ученые сосредоточились на том, каким образом молекулы в пораженных вирусом клетках собираются в оболочку вируса. Оболочки вирусов, если попытаться их представить, похожи на футуристические жилища из ячеек правильной формы. И до сих не была изучена ситуация, когда оболочки вирусов собираются из одинаковых ячеек с количеством молекул меньше пяти. Так ведет себя, например, вызывающий лихорадку вирус Денге.

Специалисты создали математическую модель и проверили ее на компьютерах. Модель показала, что молекулы ячеек оболочки вирусов выстраиваются так, чтобы центры тяжести молекул соответствовали определенному правилу.

Однако более важным ученые считают открытие правил, по которым «молодые» вирусы перестраивают свои оболочки внутри клетки перед выходом наружу. Зная это правило, можно создать препараты, нарушающие этот процесс. А значит замедляющие распространение вируса в организме.

Последние новости

От уборки улиц до посадки деревьев: как Волгодонск встречает весну

От уборки улиц до посадки деревьев: как Волгодонск встречает весну В Волгодонске убрали улицы от мусора и сухих листьев и высадили 30 деревьев в память о героях Великой Отечественной войны.

Воспитанницы студии танца «Алмаз» из Волгодонска стали чемпионками России

Девушки пополнили свои копилки пятью золотыми кубками и десятками медалей.

«Без срока давности: в зеркале исторической правды»: предложение приять участие в конкурсе

Предложение студентам ВИТИ НИЯУ МИФИ принять участие в III Всероссийском конкурсе сценических постановок «Без срока давности: в зеркале исторической правды».

Частотный преобразователь

Подбираем решения под ваши задачи с учётом особенностей оборудования и требований

Здесь вы можете узнать о лучших предложениях и выгодных условиях, чтобы купить квартиру в Астрахани

Комментарии (0)

Добавить комментарий

Ваш email не публикуется. Обязательные поля отмечены *